IVRテクニック & 症例

動物先端医療センター・AdAMにおける がんカテーテル治療(動注療法)の実際

 当センターでは、獣医療において日本で初めて血管造影検査(アンギオグラフィー)に特化したX線透視装置(アンギオシステム)を導入しました。 操作性の高い天井走行式Cアームシステムと大視野高画質FDP(フラットパネルディテクター)を搭載し、全身の血管の状態を詳細に検査することが可能になりました。 特に腫瘍を栄養している血管を調べるのに有効で、検査と同時に腫瘍に抗がん剤を注入したり、血管を塞栓したりする様々な治療(インターベンショナル・ラジオロジー:IVR)を行うことができます。 IVRは、カテーテルを使って治療ができるため、動物の負担を大幅に軽減することができる最先端の低侵襲治療です。

<適応症例>
手術できないほど進行した様々ながんや、高齢で手術リスクの高い犬や猫のがんに対して、当センターでは積極的にカテーテル治療(動注療法)を実践しています。

アンギオシステムを用いたカテーテル治療の実施風景
アンギオシステムを用いた
カテーテル治療の実施風景
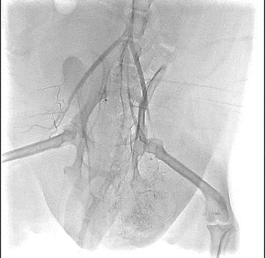
【実施症例】骨盤腔腫瘍に対する動注療法

雑種犬, 11歳, 雄。
摘出手術後に再発した肛門周囲腺癌。腫瘍は骨盤腔内まで浸潤し、再度の外科的切除は困難であった。 左総頸動脈からカテーテルを左内腸骨動脈まで挿入し、腫瘍陰影を確認。抗がん剤および塞栓剤を注入した。 実施後、腫瘍は1/4以下に縮小し正常な排便が維持できている。

骨盤腔のX線透視像
骨盤腔のX線透視像
腫瘍陰影
腫瘍陰影
実施前
実施前
実施後
実施後
【実施症例】腰下リンパ節に転移した血管肉腫に対する動注療法

ゴールデン・レトリーバー、11歳、雄。
腰下リンパ節に転移した血管肉腫。
腫瘍の頭側の腹大動脈にリザーバーを設置し、抗がん剤の投与を行った。腫瘍は1/3以下に縮小が認められた。

血管肉腫が転移した腰下リンパ節
血管肉腫が転移した腰下リンパ節
腫瘍陰影(DSA画像)
腫瘍陰影(DSA画像)
実施前
実施前
実施後
実施後
【実施症例】鼻腔内腫瘍に対する動注療法

トイプードル、11歳、雌。
約半年前に放射線治療を受けたが腫瘍が再発。 鼻腔内腫瘍の栄養血管である上顎動脈にマイクロカテーテルで選択的に抗がん剤を注入した。 1ヵ月後のCT検査では腫瘍の1/2以下の縮小が認められた。

頭部のX線透視像
頭部のX線透視像
頭部動脈のDSA像
頭部動脈のDSA像
上顎動脈への注入
上顎動脈への注入
実施前
実施前
実施後
実施後
【実施症例】甲状腺癌に対する動注療法

ミニチュア・ダックスフンド、12歳、雌。
周囲組織に浸潤した甲状腺癌で外科的切除は困難であった。 大腿動脈からカテーテルを挿入し、腫瘍栄養血管である甲状腺動脈に抗がん剤と塞栓物質の選択的注入を行った。 実施後、腫瘍は縮小し症状の改善が得られた。

造影CT画像
造影CT画像
実施前の血管造影(腫瘍内に血流が豊富に認められる)
実施前の血管造影
(腫瘍内に血流が
豊富に認められる)
実施後の血管造影(腫瘍への血流がほとんど途絶されている)
実施後の血管造影
(腫瘍への血流が
ほとんど途絶されている)
実施前のX線像(腫瘍が気管を圧迫)
実施前のX線像
(腫瘍が気管を圧迫)
実施後のX線像(腫瘍が縮小し気管の圧迫が改善)
実施後のX線像
(腫瘍が縮小し
気管の圧迫が改善)
【実施症例】腋窩に発生したメラノーマに対する動注療法

ラブラドール・レトリーバー、雄、12歳。
腋窩に発生した腫瘍によって跛行を呈していた。腋窩動脈から分岐する腫瘍栄養血管に抗がん剤を注入。 実施後腫瘍の縮小が得られ跛行が改善した。

腋窩に発生した腫瘍
腋窩に発生した腫瘍
腫瘍栄養血管
腫瘍栄養血管
抗がん剤の選択的注入
抗がん剤の選択的注入
実施前
実施前
実施後
実施後
【実施症例】肝臓腫瘍に対する動注療法

柴犬、12歳、雄。
肝臓内側左葉に発生した巨大肝臓腫瘍。高齢で手術リスクが高いため、肝臓腫瘍に対して TACE(肝動注化学塞栓療法)を実施した。 実施から1ヵ月後のエコー検査で、腫瘍の若干の縮小と内部の壊死が認められた。

肝臓腫瘍の3D・CT画像
肝臓腫瘍の3D・CT画像
肝動注化学塞栓療法
肝動注化学塞栓療法
実施前
実施前
実施後
実施後

腹腔内出血を伴った肝腫瘤に対しTAE(経カテーテル動脈塞栓術)を実施した猫の1例

Key word:経カテーテル動脈塞栓術、腹腔内出血、肝腫瘤

川村悠太
Yuta KAWAMURA
伊藤大樹
Hiroki ITOU
木田諒知
Akitomo KIDA
砂川大輝
Hiroki SUNAKAWA
川村健二
Kenji KAWAMURA
川村動物病院
〒950-0891 新潟県新潟市東区上木戸1-1-6
TEL:025-271-7300
FAX:025-271-7302
獣医療 非外傷性の腹腔内出血

犬60例 約70%が腫瘤病変からの出血
 ― 脾臓、肝臓、副腎、腎臓、腹腔内の血管、腹壁で起こりやすい
 ・ Roberts B et al. 2009 Mar-Apr;45(2):72-7.

犬39例 約80%が悪性腫瘍が原因
 ― そのうち血管肉腫が70%
 ― 生存退院は41%
 ― Pintar J et al. J Am Anim Hosp Assoc. 2003 Nov-Dec;39(6):

人医療 腹腔内出血

本邦でも1980年代前半より骨盤骨折や肝癌破裂にTAE
 ― 循環動態が安定していればが止血のための第一選択
 ― 開腹手術と比較して迅速な止血処置が可能
 ・ 臨床放射線63巻 臨時増刊号 救急IVR

肝腫瘍の破裂に対する管理が過去20年で根本的に変化
 ― 救急肝切除からTAEに(無理ならガーゼパッキング)
 ― 全身状態が安定してから摘出手術
 ・Darnis B et al. J Visc Surg. 2014 Oct;151(5):365-75.

【症例】

ラグドール、雄(去勢済み)、8歳齢、体重4.9kg
当日の朝からの突然の元気消失および食欲廃絶
既往歴:特になし
初診時身体検査所見
 ― BCS3/5、体温38.3 ℃、心拍数216回/分、頻呼吸、可視粘膜蒼白、CRT=2.0秒

ラグドール
【各種検査所見】

血液検査
 ― 重度の貧血 (PCV16%)
 ― その他著変なし

レントゲン検査
 ― 上腹部領域に腫瘤陰影

腹部超音波検査
 ― 右上腹部に40mm大の腫瘤陰影
 ― 腹腔内に液体貯留
 ― 穿刺吸引→血様の液体

レントゲン検査
第1病日 治療

腹腔内腫瘤からの突然の出血
   
ショック状態

状態安定化を目的に酸素化と輸血・輸液
   
第2病日にCTおよび手術を計画

第1病日 治療
CT(第2病日)

肝動脈尾状葉枝が栄養血管門脈血の流入は確認されず

尾状葉由来5cm大
尾状葉由来5cm大
動脈相
動脈相
門脈相
門脈相
CT MIP
尾状葉由来5cm大
動脈相
【診断・治療方針】

腹腔内腫瘤の破裂による非外傷性出血
 ― 腹腔内腫瘤は肝尾状葉由来 (Φ5cm)

腫瘤は動脈相で早期膿染
 ― 肝動脈尾状葉枝が栄養血管

オーナーと相談の結果、まずは腫瘤からの出血の制御を目的として第3病日にTAE(*)を実施する事となった。

(*)TAE
Cios Fusion(SIEMENS)
4Fr RADIFOCUS INTRODUCER(TERUMO)
4.2Fr RIM-S型 catheter(Hanako Medical)
1.7Fr Estream micro catheter(東レ)
0.035inch RADIFOCUS GUIDE WIRE M(TERUMO)
0.014inch Cross Winder(東レ)
ジェルパート(日本化薬)
TAE
腹腔動脈選択~腹腔動脈造影
腹腔動脈選択~腹腔動脈造影
4Fr RADIFOCUS INTRODUCER(TERUMO)
4.2Fr RIM-S型 catheter(Hanako Medical)
総肝動脈選択~feeder選択
総肝動脈選択~feeder選択
1.7Fr Estream micro catheter(東レ)
0.014inch Cross Winder(東レ)
塞栓剤注入
塞栓剤注入
ジェルパート1mm 粒(日本化薬)
TAE後経過 ①

TAE翌日~3日目 塞栓後症候群
 ― TAE後翌日 発熱(39.8 ℃)、GPT上昇(303)、CPK上昇(>2000) → 徐々に低下

TAE 5日目 退院
 ― 腹腔内に液体貯留は認めず。

PCVは徐々に回復
 第1病日16%、退院時PCV=25%、第36病日34%

TAE後経過 ②

TAE後66日目 残存腫瘤の摘出手術
 ― 手術時のCT検査ではPR  ― 組織検査結果は胆管細胞腺腫

第225病日現在、再発なく全身状態良好

外科手術時(TAE後66日目)
外科手術時(TAE後66日目)
TAE前
TAE前
【考察】

腹腔内出血を伴った肝腫瘤の猫に対し、緊急止血を目的にTAEを実施した。

塞栓術に要した時間は80分であり、手術と比べ比較的短時間で施行可能であった。

残存腫瘤の摘出も安定した状態で実施可能であった。

猫の腹腔内出血は生存退院率が1割強と予後が悪く、手術リスクも高い。

   

非外傷性の腹腔内出血に対し、止血を目的とした血管内治療は予後改善のために有効となる可能性がある。

【参考文献】

Prognosis for Acute Nontraumatic Hemoperitoneum in the Dog: A Retrospective Analysis of 60 Cases (2003-2006). Aronsohn MG,Dubiel B, Roberts B, Powers BE. J Am Anim Hosp Assoc. 2009 Mar-Apr;45(2):72-7.

Acute Nontraumatic Hemoabdomen in the Dog: A Retrospective Analysis of 39 Cases (1987–2001). Pintar J, Breitschwerdt EB, Hardie EM, Spaulding KA. J Am Anim Hosp Assoc. 2003 Nov-Dec;39(6): 518-22.

Spontaneous hemoperitoneum in cats: 65 cases (1994–2006). Culp WT, Weisse C, Kellogg ME, Gordon IK, Clarke DL, May LR, Drobatz KJ. J Am Vet Med Assoc. 2010 May 1;236(9):978-82. doi: 10.2460/javma.236.9.978.

臨床放射線63巻 臨時増刊号 救急IVR

Management of bleeding liver tumors. Darnis B, Rode A, Mohkam K, Ducerf C, Mabrut JY. J Visc Surg. 2014 Oct;151(5):365-75

動物臨床医学会 利益相反(COI)に関する情報開示

川村悠太
Yuta KAWAMURA
伊藤大樹
Hiroki ITOU
木田諒知
Akitomo KIDA
砂川大輝
Hiroki SUNAKAWA
川村健二
Kenji KAWAMURA
演題発表(講演)に関連し、筆頭および共同発表者が開示すべきCOI 関係にある企業等はありません。
TOP